The Receptor-Interacting Protein Kinase 3-Mixed Lineage Kinase Like Signaling Axis and Mitochondrial Damage Drive Hematopoietic Stem Cell Aging

The natural process of aging brings about a gradual weakening of the body’s blood and immune systems, a phenomenon largely attributed to the diminishing capacity of hematopoietic stem cells (HSCs). These critical cells, responsible for generating all blood cell types, normally possess a remarkable ability to self-renew and maintain a balanced output of myeloid and lymphoid lineages. However, with age, their efficiency wanes. They produce fewer new cells, exhibit a skewed preference for myeloid cell production over lymphoid cells, and consequently, their ability to mount a robust immune response is compromised. This decline is driven by a complex interplay of factors including accumulated cellular damage, alterations in gene expression patterns, chronic low-grade inflammation, and shifts within the bone marrow microenvironment. Until recently, the precise mechanisms by which these diverse stressors converge to impair HSC function remained a significant puzzle for researchers.
Unraveling a Critical Aging Pathway: A Collaborative Endeavor
A groundbreaking study, conducted through a significant collaboration between researchers at The University of Tokyo, Japan, and St. Jude Children’s Research Hospital in the United States, has illuminated a key pathway involved in this age-related decline of HSCs. Their investigation zeroed in on the receptor-interacting protein kinase 3 (RIPK3)-mixed lineage kinase like (MLKL) signaling axis, a molecular cascade historically associated with necroptosis, a distinct form of programmed cell death.
The research was spearheaded by Dr. Masayuki Yamashita, who at the time of the investigation served as an Assistant Professor at The Institute of Medical Science, The University of Tokyo, and is now an Assistant Member at St. Jude Children’s Research Hospital. Dr. Atsushi Iwama from The Institute of Medical Science, The University of Tokyo, and Dr. Yuta Yamada from St. Jude Children’s Research Hospital, a former graduate student at The Institute of Medical Science, The University of Tokyo, were also key contributors to this pivotal study. Their findings, published on April 6, 2026, in Volume 17 of the prestigious journal Nature Communications, provide a novel perspective on how cellular stress impacts stem cell longevity and function.
An Unexpected Observation: MLKL’s Role Beyond Cell Death
The genesis of this research lay in an unexpected observation made by Dr. Yamashita and his team. "We discovered an unexpected phenotype in HSCs of MLKL-knockout mice repeatedly treated with 5-fluorouracil, where aging-associated functional changes were markedly attenuated despite no detectable difference in HSC death, prompting us to investigate whether this pathway might induce functional changes beyond cell death," Dr. Yamashita explained. This pivotal insight suggested that MLKL, a protein typically implicated in cell demise, might exert its influence on stem cell aging through mechanisms that do not necessarily lead to cell death. This hypothesis became the central tenet of their subsequent investigation.
Rigorous Experimental Design: Probing the MLKL Mechanism
To meticulously test their hypothesis, the research team employed a sophisticated array of experimental models. They utilized various strains of genetically engineered mice, including wild-type controls, MLKL-deficient mice, and RIPK3-deficient mice. Furthermore, they developed specialized reporter mice equipped with a Förster resonance energy transfer (FRET)-based biosensor, designed to precisely detect and quantify MLKL activation.
The experimental mice were subjected to a battery of stress conditions designed to mimic the various insults encountered during aging. These included induced inflammation, replication stress (often associated with rapid cell division and DNA repair challenges), and oncogenic stress (mimicking the presence of cancer-causing mutations). The functional capacity of the HSCs was primarily assessed through bone marrow transplantation experiments. This gold-standard technique evaluates the intrinsic ability of stem cells to repopulate and rebuild the entire blood system following transplantation into a recipient animal.
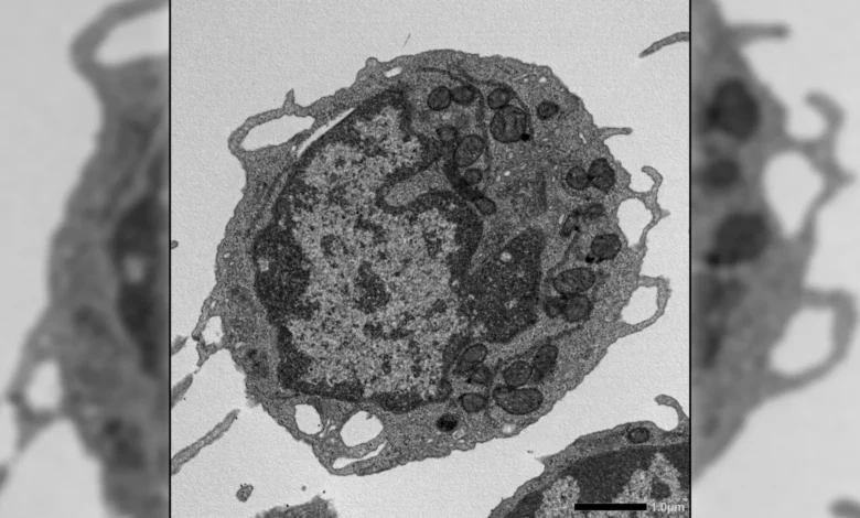
Beyond transplantation, the researchers deployed a comprehensive suite of advanced techniques to gain a multi-dimensional understanding of MLKL’s impact. These included flow cytometry for detailed cell surface marker analysis, ex vivo expansion assays to evaluate stem cell proliferation potential in controlled environments, RNA sequencing (RNA-seq) to scrutinize gene expression profiles, assay for transposase-accessible chromatin sequencing (ATAC-seq) to map regions of open chromatin indicative of gene regulatory activity, high-resolution imaging for visualizing cellular structures, metabolic testing to assess cellular energy production, and detailed studies of mitochondrial morphology and function. This integrated approach allowed for an unprecedented examination of MLKL’s influence on HSCs at both the molecular and cellular levels.
Mitochondrial Dysfunction: The Unforeseen Consequence of MLKL Activation
The study’s findings unveiled a previously unrecognized role for MLKL in the aging process of stem cells. Contrary to expectations, the activation of MLKL within HSCs under stress did not lead to an increased rate of cell death or a reduction in overall cell numbers. Instead, MLKL orchestrated a more insidious form of damage.
Upon activation under stress conditions, MLKL was observed to transiently translocate to the mitochondria, the powerhouses of the cell. Once at the mitochondria, MLKL instigated damage by disrupting the mitochondrial membrane potential, altering the organelle’s structural integrity, and significantly impairing its energy-generating capacity. These mitochondrial insults directly contributed to the hallmark features of HSC aging, including a diminished capacity for self-renewal, a pronounced decrease in the production of crucial lymphoid cells, and a notable skewing of output towards myeloid cell lineages. This discovery marks a significant departure from the traditional understanding of MLKL’s function, highlighting its capacity to induce functional decline without triggering cell demise.
Preserving Stem Cell Vitality: The Protective Power of MLKL Inhibition
A crucial aspect of the research demonstrated the profound restorative effects of blocking MLKL activity. When MLKL was genetically removed or pharmacologically inactivated, the age-related detrimental effects on HSCs were substantially mitigated. HSCs lacking functional MLKL exhibited a remarkable preservation of their regenerative potential, produced a healthier complement of immune cells, displayed reduced levels of DNA damage, and maintained superior mitochondrial function. These benefits were evident even in aged animals or when subjected to various stressful stimuli.
Intriguingly, these observed improvements were achieved without significant alterations in overall gene expression profiles or chromatin accessibility. This observation suggests that MLKL primarily exerts its influence on stem cell aging through post-transcriptional mechanisms, impacting cellular structures like mitochondria rather than directly altering DNA regulation or initiating inflammatory cascades. This finding is critical, as it points towards potential therapeutic targets that operate downstream of gene expression.
Broader Implications for Aging and Therapeutics: A New Frontier in Regenerative Medicine
The implications of this research extend far beyond the immediate understanding of HSC aging. The study has identified a unifying pathway that links diverse cellular stresses to mitochondrial damage and subsequent stem cell senescence. By pinpointing MLKL as a central mediator in this cascade, the study offers profound new insights into the intricate mechanisms by which aging impacts the hematopoietic system.
Dr. Yamashita expressed optimism about the long-term therapeutic potential of these findings. "In the longer term, this research could lead to therapies that preserve the function of hematopoietic stem cells, ultimately improving recovery and long-term health for patients undergoing chemotherapy, radiation, or transplantation," he stated. "By revealing how non-lethal activation of cell-death pathways drives stem cell aging, these findings may inspire new classes of mitochondrial-protective or necroptosis-modulating drugs."
The ability to safeguard HSC function could revolutionize the treatment of various hematological disorders and improve outcomes for patients undergoing intensive medical interventions that compromise the immune system. For individuals undergoing chemotherapy or radiation therapy, which often target rapidly dividing cells including stem cells, preserving HSC integrity could significantly accelerate recovery and reduce long-term complications. Similarly, for patients receiving hematopoietic stem cell transplantation, enhancing the viability and function of the transplanted cells could lead to better engraftment and reduced rejection rates.
Redefining Stem Cell Aging: A Paradigm Shift
In essence, this comprehensive study has revealed that MLKL plays a critical, albeit previously unrecognized, role in stem cell aging, operating independently of its known role in programmed cell death. Its activation in response to cellular stress appears to be a key driver of mitochondrial damage, progressively weakening HSC function over time. This discovery challenges established paradigms regarding the function of necroptosis-related proteins and opens exciting new avenues for therapeutic intervention aimed at slowing or preventing age-related decline in the blood and immune systems. The research signifies a paradigm shift in our understanding of stem cell senescence, moving beyond a simple narrative of cell loss to one involving subtle, yet functionally significant, molecular insults. The identification of MLKL as a key player in this process provides a tangible target for developing novel strategies to enhance healthspan and resilience in the face of aging.







