-
Kesehatan Pria
5 Rekomendasi Obat Penambah Stamina dan Performa Pria Dewasa
5 rekomendasi obat penambah stamina dan performa pria dewasa – Pernahkah Anda merasa lelah dan kurang bertenaga saat beraktivitas? Atau…
Read More » -
Kesehatan
5 Rekomendasi Dokter Spesialis Penyakit Dalam di Medan: Temukan Dokter Terbaik untuk Kesehatan Anda
Mencari dokter spesialis penyakit dalam di Medan yang tepat bisa jadi membingungkan, terutama ketika Anda sedang tidak enak badan. Banyaknya…
Read More » -
Kesehatan
5 Pilihan Olahraga yang Bisa Dilakukan Saat Berpuasa
5 pilihan olahraga yang bisa dilakukan saat berpuasa – Puasa nggak harus jadi penghalang buat tetap aktif! Justru, berolahraga saat…
Read More » -
Kesehatan
5 Pilihan Kudapan Sehat Buat Buka Puasa
5 pilihan kudapan sehat buat buka puasa – Puasa adalah momen istimewa untuk mendekatkan diri kepada Tuhan, sekaligus kesempatan untuk…
Read More » -
Perawatan Kecantikan
5 Perawatan Sederhana untuk Bibir Lembut dan Sehat
5 perawatan yang bisa dilakukan agar bibir lembut – Siapa sih yang gak mau punya bibir lembut dan sehat? Bibir…
Read More » -
Perawatan Kulit Pria
5 Perawatan Wajah Cocok untuk Pria: Tampil Percaya Diri
5 perawatan wajah yang cocok untuk pria – Siapa bilang perawatan wajah hanya untuk wanita? Pria juga perlu merawat kulit…
Read More » -
Kehamilan
5 Penyebab Nyeri Punggung Saat Hamil: Waspadai dan Atasi!
5 penyebab terjadi nyeri punggung saat hamil – Pernahkah kamu merasakan nyeri punggung yang tak tertahankan saat hamil? Kehamilan adalah…
Read More » -
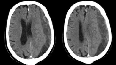
Kesehatan Otak
5 Penyebab Seseorang Alami Hematoma Subdural: Waspadai Gejala dan Pencegahannya
5 penyebab seseorang alami hematoma subdural – Pernahkah kamu mendengar tentang hematoma subdural? Kondisi ini mungkin terdengar asing, tapi bisa…
Read More » -
Perawatan Kulit
5 Penyebab Rambut Tumbuh ke Dalam: Mengungkap Rahasia Kulit yang Meradang
5 penyebab rambut tumbuh ke dalam – Pernahkah Anda merasakan benjolan kecil yang merah dan nyeri di kulit Anda, terutama…
Read More »
