
5 Penyebab Seseorang Alami Hematoma Subdural: Waspadai Gejala dan Pencegahannya
5 penyebab seseorang alami hematoma subdural – Pernahkah kamu mendengar tentang hematoma subdural? Kondisi ini mungkin terdengar asing, tapi bisa terjadi pada siapa saja, bahkan tanpa disadari. Hematoma subdural adalah kondisi di mana terjadi perdarahan di antara lapisan luar otak dan lapisan penutup otak. Kondisi ini bisa disebabkan oleh berbagai faktor, mulai dari trauma kepala hingga gangguan pembekuan darah.
Dalam artikel ini, kita akan membahas 5 penyebab umum hematoma subdural, gejala yang perlu diwaspadai, dan langkah-langkah pencegahan yang bisa dilakukan. Dengan memahami informasi ini, kamu bisa lebih waspada terhadap risiko dan mengambil langkah-langkah yang tepat untuk melindungi kesehatan otakmu.
Definisi Hematoma Subdural
Hematoma subdural merupakan kondisi medis yang terjadi ketika terdapat kumpulan darah yang terkumpul di antara lapisan luar otak (dura mater) dan lapisan tengah (arachnoid mater). Kondisi ini biasanya disebabkan oleh cedera kepala, yang menyebabkan pembuluh darah pecah dan mengeluarkan darah.
Darah yang terkumpul kemudian menekan jaringan otak, yang dapat menyebabkan berbagai gejala, mulai dari ringan hingga berat.
Hematomas subdural, kondisi serius yang terjadi akibat pendarahan di otak, bisa disebabkan oleh berbagai faktor seperti jatuh, kecelakaan, atau bahkan trauma kepala ringan. Namun, mengetahui penyebabnya bukan satu-satunya hal yang penting. Penting juga untuk memahami bagaimana cara mendeteksi penyakit ini, seperti dengan melakukan tes HIV, karena dalam beberapa kasus, infeksi HIV dapat menyebabkan hematomas subdural.
Untuk mengetahui lebih lanjut tentang proses pemeriksaan tes HIV, kamu bisa membaca artikel ini: 2 langkah langkah pemeriksaan tes hiv. Memahami berbagai penyebab hematomas subdural dan cara mendeteksinya dapat membantu kita lebih waspada dan mengambil langkah pencegahan yang tepat.
Lokasi Hematoma Subdural di Otak
Untuk lebih memahami lokasi hematoma subdural, bayangkan otak seperti bola yang dibungkus oleh tiga lapisan tipis, yaitu dura mater (lapisan terluar), arachnoid mater (lapisan tengah), dan pia mater (lapisan terdalam). Hematoma subdural terjadi di antara dura mater dan arachnoid mater, yaitu pada ruang subdural.
Ilustrasi sederhana: Bayangkan sebuah bola yang dibungkus dengan tiga lapisan plastik. Lapisan terluar adalah dura mater, lapisan tengah adalah arachnoid mater, dan lapisan terdalam adalah pia mater. Hematoma subdural terjadi ketika terdapat kumpulan darah di antara lapisan tengah dan luar, yaitu di ruang subdural.
Tau gak sih, ternyata ada 5 penyebab utama seseorang alami hematoma subdural, mulai dari benturan kepala hingga gangguan pembekuan darah. Nggak cuma manusia, hewan peliharaan juga bisa mengalami masalah kesehatan lho. Nah, kalau anabul kesayanganmu sakit, jangan panik! Kamu bisa cari bantuan dari 5 dokter hewan yang bisa bantu anabul kesayangan kembali sehat di sini.
Penting banget buat kita untuk memahami dan mengantisipasi berbagai penyebab hematoma subdural, baik pada diri sendiri maupun pada hewan peliharaan kita.
Penyebab Umum Hematoma Subdural: 5 Penyebab Seseorang Alami Hematoma Subdural
Hematoma subdural adalah kondisi serius yang terjadi ketika darah terkumpul di antara lapisan luar otak (dura mater) dan lapisan tengah (arachnoid). Kondisi ini dapat menyebabkan tekanan pada otak, yang dapat menyebabkan kerusakan otak yang serius. Penyebab hematoma subdural dapat beragam, tetapi yang paling umum adalah trauma kepala.
Memahami penyebab hematoma subdural penting untuk pencegahan dan penanganan yang tepat. Berikut adalah penjelasan mengenai penyebab umum hematoma subdural dan mekanisme terjadinya:
Penyebab Umum Hematoma Subdural
Berikut adalah 5 penyebab umum hematoma subdural, beserta deskripsi, gejala, dan contoh kasus:
| No | Penyebab | Deskripsi | Gejala | Contoh Kasus |
|---|---|---|---|---|
| 1 | Trauma Kepala | Trauma kepala adalah penyebab paling umum dari hematoma subdural. Benturan keras pada kepala dapat menyebabkan pembuluh darah pecah dan darah terkumpul di bawah dura mater. | Sakit kepala, mual, muntah, kebingungan, kelemahan, dan kejang. | Seorang pengendara sepeda motor mengalami kecelakaan dan terbentur kepalanya ke trotoar. Setelah kejadian tersebut, ia mengalami sakit kepala hebat dan mual. Pemeriksaan medis menunjukkan adanya hematoma subdural. |
| 2 | Penuaan | Seiring bertambahnya usia, pembuluh darah di otak menjadi lebih rapuh dan mudah pecah. Hal ini dapat menyebabkan hematoma subdural, bahkan dengan trauma kepala ringan. | Sakit kepala, kebingungan, perubahan kepribadian, dan masalah dengan keseimbangan. | Seorang wanita berusia 70 tahun terjatuh di kamar mandi dan mengalami memar di kepalanya. Ia kemudian mengalami sakit kepala yang terus-menerus dan kesulitan berkonsentrasi. Pemeriksaan medis menunjukkan adanya hematoma subdural. |
| 3 | Gangguan Pembekuan Darah | Orang dengan gangguan pembekuan darah, seperti hemofilia atau penggunaan pengencer darah, lebih berisiko mengalami hematoma subdural. | Gejala hematoma subdural dapat muncul secara tiba-tiba atau bertahap, tergantung pada ukuran dan lokasi hematoma. | Seorang pria dengan hemofilia mengalami trauma kepala ringan saat bermain sepak bola. Ia kemudian mengalami sakit kepala yang semakin parah dan muntah. Pemeriksaan medis menunjukkan adanya hematoma subdural. |
| 4 | Penyalahgunaan Alkohol | Penyalahgunaan alkohol dapat menyebabkan pembuluh darah di otak menjadi lebih rapuh dan mudah pecah, meningkatkan risiko hematoma subdural. | Sakit kepala, kebingungan, masalah dengan memori, dan kesulitan berjalan. | Seorang pria yang memiliki kebiasaan minum alkohol berlebihan terjatuh di rumahnya dan mengalami memar di kepalanya. Ia kemudian mengalami sakit kepala yang parah dan mengalami kesulitan berjalan. Pemeriksaan medis menunjukkan adanya hematoma subdural. |
| 5 | Operasi Otak | Operasi otak, terutama yang melibatkan pembuluh darah, dapat menyebabkan hematoma subdural. | Sakit kepala, mual, muntah, dan kebingungan. | Seorang pasien yang menjalani operasi otak untuk mengangkat tumor mengalami sakit kepala dan muntah setelah operasi. Pemeriksaan medis menunjukkan adanya hematoma subdural. |
Gejala Hematoma Subdural
Hematoma subdural merupakan kondisi serius yang terjadi ketika darah terkumpul di antara lapisan luar otak dan selaput tipis yang menutupinya (dura mater). Darah yang terkumpul ini menekan jaringan otak dan dapat menyebabkan berbagai gejala, tergantung pada ukuran dan lokasi hematoma.
Hematomas subdural, perdarahan di antara permukaan otak dan lapisan luarnya, bisa disebabkan oleh berbagai faktor, mulai dari benturan kepala hingga masalah pembekuan darah. Memang, memahami penyebabnya penting, tapi tak kalah pentingnya adalah menjaga kesehatan anak, terutama dalam hal pola makan.
Anak yang gemar ngemil dan makan berlebihan bisa berisiko mengalami obesitas, yang berujung pada masalah kesehatan lainnya. Nah, untuk mengatasi nafsu makan anak yang berlebihan, bisa dicoba beberapa tips seperti yang dibahas di 5 cara mengerem nafsu makan anak yang berlebihan.
Dengan pola makan yang sehat, anak akan tumbuh dengan optimal, mengurangi risiko berbagai penyakit, termasuk hematomas subdural yang bisa terjadi akibat benturan atau kecelakaan.
Gejala hematoma subdural bisa muncul secara tiba-tiba atau berkembang secara perlahan, tergantung pada tingkat keparahannya.
Gejala Umum Hematoma Subdural
Gejala hematoma subdural dapat bervariasi tergantung pada tingkat keparahan dan lokasi hematoma. Berikut adalah beberapa gejala umum yang mungkin muncul:
- Sakit kepala: Ini merupakan gejala yang paling umum dan bisa dirasakan di satu sisi kepala atau seluruh kepala. Sakit kepala ini bisa terasa seperti berdenyut atau konstan, dan bisa memburuk saat batuk, bersin, atau menekuk kepala.
- Mual dan muntah: Gejala ini bisa terjadi karena tekanan pada otak yang menyebabkan gangguan pada pusat muntah di otak.
- Gangguan kesadaran: Gejala ini bisa berupa kebingungan, mengantuk, disorientasi, atau bahkan koma.
- Kelemahan atau kelumpuhan: Hematoma subdural dapat menyebabkan kelemahan atau kelumpuhan pada satu sisi tubuh, tergantung pada lokasi hematoma di otak.
- Gangguan penglihatan: Gejala ini bisa berupa penglihatan kabur, penglihatan ganda, atau bahkan kehilangan penglihatan.
- Kejang: Gejala ini bisa terjadi karena tekanan pada otak yang menyebabkan aktivitas otak yang abnormal.
Perbedaan Gejala Berdasarkan Tingkat Keparahan
Gejala hematoma subdural dapat bervariasi tergantung pada tingkat keparahannya. Sebagai contoh, hematoma subdural akut biasanya menyebabkan gejala yang muncul secara tiba-tiba dan parah, seperti sakit kepala hebat, mual dan muntah, dan gangguan kesadaran yang signifikan. Sedangkan hematoma subdural kronis, biasanya muncul secara bertahap dan gejala awalnya mungkin ringan, seperti sakit kepala ringan atau kelelahan.
Gejala Hematoma Subdural Kronis
Hematoma subdural kronis adalah jenis hematoma subdural yang berkembang secara perlahan dan biasanya terjadi pada orang tua atau mereka yang memiliki riwayat alkohol. Gejala hematoma subdural kronis seringkali tidak jelas dan berkembang secara bertahap. Berikut adalah beberapa gejala yang mungkin muncul pada hematoma subdural kronis:
- Sakit kepala ringan yang menetap dan semakin memburuk seiring waktu.
- Kelelahan yang tidak biasa.
- Perubahan kepribadian atau perilaku.
- Kesulitan berkonsentrasi.
- Gangguan keseimbangan atau koordinasi.
- Gangguan bicara atau pemahaman.
Diagnosis dan Pengobatan Hematoma Subdural
Setelah mengetahui gejala dan penyebab hematoma subdural, langkah selanjutnya adalah melakukan diagnosis dan pengobatan yang tepat. Diagnosis hematoma subdural biasanya dilakukan melalui pemeriksaan fisik dan tes pencitraan, seperti CT scan dan MRI. Pengobatan hematoma subdural tergantung pada tingkat keparahannya, mulai dari observasi hingga pembedahan.
Pemeriksaan Pencitraan
Pemeriksaan pencitraan sangat penting untuk mendiagnosis hematoma subdural. Berikut ini dua jenis pemeriksaan pencitraan yang umumnya digunakan:
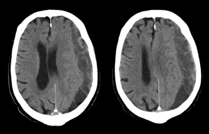
- CT Scan (Computed Tomography Scan): CT scan merupakan prosedur yang menggunakan sinar-X untuk menghasilkan gambar potongan melintang otak. CT scan dapat menunjukkan lokasi, ukuran, dan bentuk hematoma subdural. CT scan juga dapat menunjukkan adanya kerusakan otak lainnya, seperti edema atau perdarahan. CT scan merupakan pemeriksaan yang cepat dan mudah dilakukan, dan hasilnya dapat diperoleh dalam waktu singkat.
- MRI (Magnetic Resonance Imaging): MRI merupakan prosedur yang menggunakan medan magnet dan gelombang radio untuk menghasilkan gambar detail otak. MRI dapat menunjukkan jaringan lunak otak dengan lebih jelas dibandingkan CT scan. MRI dapat membantu dalam mengidentifikasi hematoma subdural yang lebih kecil, serta menunjukkan kerusakan jaringan otak lainnya.
Metode Pengobatan Hematoma Subdural
Pengobatan hematoma subdural tergantung pada tingkat keparahannya. Berikut ini beberapa metode pengobatan yang umum dilakukan:
- Observasi: Pada kasus hematoma subdural yang kecil dan tidak menimbulkan gejala, dokter mungkin hanya merekomendasikan observasi. Pasien akan diawasi secara ketat untuk melihat apakah hematoma membesar atau menyebabkan gejala.
- Terapi Obat-obatan: Obat-obatan seperti diuretik dapat membantu mengurangi tekanan pada otak. Obat-obatan lain, seperti antikonvulsan, dapat membantu mencegah kejang.
- Pembedahan: Pembedahan dilakukan pada kasus hematoma subdural yang besar atau menimbulkan gejala. Pembedahan dilakukan untuk mengeluarkan darah beku dan mengurangi tekanan pada otak. Jenis pembedahan yang dilakukan tergantung pada lokasi dan ukuran hematoma.
Contoh Kasus
Seorang pria berusia 65 tahun mengalami kecelakaan lalu lintas dan mengalami gegar otak. Setelah beberapa hari, ia mengalami sakit kepala yang hebat dan muntah. Ia kemudian dibawa ke rumah sakit dan dilakukan CT scan. CT scan menunjukkan hematoma subdural yang cukup besar di bagian depan otak.
Dokter memutuskan untuk melakukan pembedahan untuk mengeluarkan darah beku. Setelah pembedahan, pasien mengalami pemulihan yang baik dan gejala-gejalanya berkurang.
Pencegahan Hematoma Subdural

Hematoma subdural adalah kondisi serius yang memerlukan penanganan medis segera. Meskipun tidak selalu dapat dicegah sepenuhnya, ada beberapa langkah yang dapat Anda ambil untuk mengurangi risiko terjadinya hematoma subdural. Berikut adalah beberapa tips penting yang dapat Anda terapkan dalam kehidupan sehari-hari.
Gunakan Helm Saat Berkendara
Helm merupakan pelindung kepala yang sangat penting saat berkendara, terutama sepeda motor, sepeda, atau skateboard. Helm dapat menyerap benturan dan mengurangi risiko cedera kepala, termasuk hematoma subdural, jika terjadi kecelakaan.
Hindari Aktivitas Berbahaya
Aktivitas berbahaya seperti olahraga kontak, mendaki gunung, atau pekerjaan yang melibatkan ketinggian dapat meningkatkan risiko cedera kepala. Sebaiknya hindari aktivitas tersebut atau gunakan alat pelindung kepala yang sesuai.
Jaga Kesehatan Otak, 5 penyebab seseorang alami hematoma subdural
Menjaga kesehatan otak secara keseluruhan dapat membantu mengurangi risiko hematoma subdural. Berikut beberapa tips yang dapat Anda terapkan:
- Makan makanan sehat dan bergizi seimbang, kaya akan buah-buahan, sayuran, dan protein.
- Berolahraga secara teratur untuk meningkatkan aliran darah ke otak dan menjaga kesehatan pembuluh darah.
- Istirahat yang cukup untuk memungkinkan otak untuk memperbaiki dan meregenerasi dirinya sendiri.
- Hindari merokok dan konsumsi alkohol berlebihan, karena keduanya dapat merusak pembuluh darah otak.
- Kelola stres dengan baik, karena stres kronis dapat memengaruhi kesehatan otak.
Berhati-hati Saat Beraktivitas
Meskipun tidak selalu dapat menghindari kecelakaan, Anda dapat mengurangi risiko cedera kepala dengan berhati-hati saat beraktivitas. Berikut beberapa tips yang dapat Anda terapkan:
- Berjalan dengan hati-hati di area yang ramai atau gelap.
- Berhati-hati saat menuruni tangga atau permukaan yang licin.
- Hindari bermain atau beraktivitas di tempat yang berbahaya, seperti di dekat tepi jurang atau di area konstruksi.
Waspada Terhadap Gejala
Jika Anda mengalami gejala seperti sakit kepala, pusing, mual, muntah, kelemahan, atau gangguan penglihatan, segera cari pertolongan medis. Gejala-gejala tersebut dapat menjadi tanda adanya hematoma subdural.




